MGS 報告書
2019年11月20日
第9回10回船越研修会報告書 テーマMGS
歯科医師の塩谷です。今回は情報量がとても多いので自分が特に重要だと思った点や、臨床で疑問になった点などをピックアップしてシェアしたいと思います。追加の疑問点は来月船越先生に質問したいと思います。 今回は模型実習や豚顎使って外科の練習をしました。基本的には院長に教えていただいた通りのことが 多かったです。


今回は症例発表として自分のFGGの症例を先生にみて頂きました。上手く出来ていると言って頂き良かったです。


MGS
歯肉歯槽粘膜形成術では歯根露出、ポケット底がMGJを超えるケース、小帯異常、浅い口腔前提 歯肉のクレフトをなど解決できる。MGSの目的は付着歯肉の獲得、ポケット除去、小帯による不利な牽引を除去、口腔前提を浅くする、歯根露出の回復、矯正治療中の歯肉退縮を減らすなど多 数の利点がある。リセッションしたところにMGSする時は歯にエッチングをしてエムドゲイン使 用してFGGする。Partial thickness flapの場合は神経など危険なところじゃ無ければしっかり開く。可能ならpartialよりfullの方が楽だし腫れずらい
FGG
隣接部の角化歯肉がないケースでも有効で一回法なのがメリット。歯根被覆に用いた場合は予知 性が低い移植片は幅は6mmは確保する(半分は吸収されるので最低6mm)移植片の厚みは 0.9~1.2mmが適切。スズ箔を使って移植するサイズを決めていた。薄すぎると吸収されてしまい、 厚すぎると血液供給が悪くなるので厚ければいいというわけではない。移植して最初の3日間は 血液を介さない滲出液で生存している。4日以降で繊維性の結合が確立される。移植片に脂肪組 織や肉芽があると血液供給を妨げるのでコルクの上か何かで除去する。移植片を骨膜にしっかり と何回も固定することが成功の鍵。船越先生はパックすることが多い
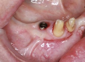
インプラントのライブオペ
今回のライブオペはサイナスなしの6番インプラントの埋入でした。切開線は院長とほぼ同様でした。47度以上で骨壊死するので埋入する時は火傷注意。オペ中はカークランドメスをオペ中多用。先生は基本的に12dを愛用。オステオトームは頻繁に使う。埋入する時コントラは使用しな いで全て手用のみで埋入。インプラントの先にはエムドゲインを少量塗ってから埋入。ヒーリング キャップを入れるときにキャップにテトラサイクリン系の薬をキャップに塗布して治癒を促進させ る。船越先生はストローマンしか使用しない。SLAと使っていて、厳しいケースのみSLAcitveを 使用する。審美領域以外ではなるべくBLよりもインプラントはTLを使いたい(周囲炎的に)
Coronally positioned flap
基本的にFullで開ける、歯根露出や歯肉退縮に有効。3mmの角化歯肉が必要。失敗の可能性が低 いし、失敗しても歯根露出が最初より悪化することは基本ない
Laterally positioned flap
出来ればFULLで行うべきとのこと。切開線は最後切り込みを入れると歯肉の寄せが良くなるそう 隣接する角化歯肉が豊富じゃないと出来ない。供給側に歯肉退縮や開窓、裂開が起きる可能性が あるので注意。FULLで骨見えてて大丈夫かな・・と思ったのですがしっかり治るそうです。縫合はモノフィラメントを使うように。
船越先生への質問 Q&A
Q:EXT、FGG、インプラントのタイミングは?
A:基本は抜歯、移植、埋入の順番。FGGはオペ前にして最低でも3ヶ月待ってからインプラント 埋入。完全に待つ時は半年待って埋入、即時荷重はよっぽどのことがない限りやらない
Q:矯正後のリセッションはなぜ起きる?
A:力、炎症、PCR不良によるもの
Q:EXT後、抜歯窩に何か補填はするのか
A:基本はスポンゼル盛り盛りにする。抗生剤を抜歯窩に入れることによる効果は怪しく、意味ないかも知れない。最近はレーザーを自費で請求しているのでその場合はスポンゼルは少量でレー ザーで黒焦げにする。インプラント治療が確約されていて同意が得られればバイオス、DFDBA等 を入れて5ヶ月後に埋入プランになる
Q:抜歯後の縫合はどうする?
A:切開した場合以外は基本縫合しない。強く縫合すると角化歯肉がなくなるから注意
Q:小帯切除術で後戻りしないようにするにはどうしたらいいか?
A:骨膜剥離子で筋肉の付着部位を根尖側に押し下げる。また術後一週間パックして抜糸後に追加 で一週間パックすると予防できる
Lindeの本とも照らし合わせて後日図解などをアップしたいと思います




