成功率90%以上の
「米国式根管治療」

- ラバーダム100%利用
- マイクロスコープでの精密治療
- 最短1回の来院
- レーザーエンド
※セカンドオピニオン対応※
多摩モノレール「砂川七番駅」降りてすぐ
〒190-0004 東京都立川市柏町3丁目1-1
042-536-4605
診療時間 9:00 ~ 17:30
※受付は17:00まで ※休診日:祝日


※セカンドオピニオン対応※
虫歯が進行すると、歯の神経が虫歯菌に侵されます。こうなると、侵された神経を取り除き、患部をきれいに洗浄する「根管治療」が必要です。
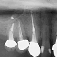
下の写真をご覧ください。歯の中にある黒い部分が「根管」です。これを残さず取り除く必要があるのですが、ご覧の通り根管の形状は非常に複雑です。除去が不十分なまま治療を終えてしまうと、残された虫歯菌が繁殖し、再び痛みを引き起こしてしまうのです。

日本国内では、多くの歯科医師が「肉眼」で根管治療を行っています。これほど複雑な形をした根管から、肉眼で患部を正確に取り除くのは困難を極めます。事実、日本国内での根管治療の成功率はわずか50%程度に過ぎません。
当院の根管治療は「再発を防ぐ」ことを第一に考えて処置をしています。
このため、肉眼ではなく、「歯科専用の顕微鏡」を活用した治療を実践しています。

その他、当院ではCT(三次元立体画像撮影装置)も活用し、従来のレントゲン検査では撮影できない部分までもしっかり確認し、治療精度の向上に努めています。


マイクロスコープ、CTを含め、当院で実施している精密根管治療を詳しく紹介します。

日本国内における根管治療の成功率は、わずか50%程度しかありません。根管治療の成功とは、痛みや腫れが再発しないことを意味します。つまり、半数近くの患者様が症状の再発に悩んでいるのです。何度も治療を繰り返しているうちに、いずれ抜歯を避けられないところまで症状が進んでしまいます。
これに対し、米国の根管治療は90%以上の成功率があります。この違いはいったいどこにあるのでしょう。
日本国内では、主に保険診療の範囲で根管治療が行われます。
保険診療では制約が多く、虫歯菌に感染した神経組織を取り除くのが非常に難しいのです。米国式は自費治療となりますが、保険診療の制約がないので、成功率を高めるための道具や薬剤を利用できます。
日本式![]() | 米国式![]() | |
|---|---|---|
| ラバーダム利用 | ×or△ ※当院では○ | 〇 |
| 利用する道具 | ステンレスファイル ※感染部位の除去が難しい | ニッケルチタンファイル ※感染部位を効率よく除去できる |
| マイクロスコープ | ×or△ | 〇 |
| 来院回数 | 4回~8回 | 1回~3回 |
| 充填剤 | ゴム ※再発しやすい | MTAセメント ※殺菌性に優れ再発しにくい |
以下、当院の米国式根管治療の特徴を詳しく説明します。
「マイクロスコープ(歯科用顕微鏡)」とは、その名の通りに治療部位を拡大して見る装置です。根管の形状は複雑で狭く、直径1mmに満たないところも少なくありません。ここから感染部位を除去するためには、どれだけしっかりと目視できるかが成否を分けます。

下の画像が、マイクロスコープで拡大した患部です。マイクロスコープがいかに多くの情報を与えてくれるか、おわかりいただけると思います。この機器を利用することで、再発や抜歯という最悪のシナリオを回避できる確率が格段に高まりました。

他院では抜歯と診断されてしまった歯でも、当院では抜歯せずに処置した症例も多数あります。次の画像をご覧ください。黒い影が出ている部分が問題の箇所で(根尖病変)、治療後はこの影がなくなっているのが見てわかります。


根尖病変を治療した症例。
リスクとして、稀ではありますが
再発することがあります。

複雑な形をした根管を治療するには、画像診断によって根管の形状を可視化することが必要です。多くの歯科医院では画像診断にレントゲンが用いられます。しかし、レントゲンでは初期の患部を見つけられないことが多い上に、根管の複雑な形状をしっかり把握するには力不足です。
そこで、当院では「CT」を利用します。CTは患部を立体的に「見える化」するので、レントゲンには写らない患部までしっかり把握できます。
下の画像はCTで撮影したものです。
赤丸がついている部分が、根尖病変と呼ばれる問題が出ている部分です。患部がはっきりと黒く写っているのがわかります。レントゲンではこれほどはっきりとは写りません。CTを利用することで、より一層精密な診査・診断、そして治療が可能になるのです。

根管治療は、眼には見えない虫歯菌との戦いです。除去、殺菌、再感染防止にしっかり取り組む必要があります。

当院では、多くの症例で積極的にレーザー機器「ライトウォーカー」を活用しています。ライトウォーカーの「Er-YAGレーザー」には強い殺菌効果があり、特に根管治療に威力を発揮します。当院では、レーザーを使った根管治療を「レーザーエンド」と呼んでいます。
根管治療では、根管内の洗浄・消毒の精度に比例して成功率が高まります。根管内にレーザーを照射することで、再発のリスクを抑えることができます。

感染した神経組織をファイルで除去する際、細かい削りカスが出てきます。もちろん、削りカスにもたくさんの菌が付着しているので、これらを殺菌・洗浄する必要があります。この工程では、レーザー機器「ライトウォーカー」の機能「SWEEPS」が活躍します。
「SWEEPS」では、根管内に注入した洗浄液にレーザーを照射します。洗浄液の中に高速な振動や流れが生まれ、削りカスや細菌が除去されます。洗浄効率が非常に高く、治療時間の短縮にもつながります。SWEEPSは、根管を効果的に洗浄する画期的な技術です。

唾液の中には、多くの細菌が含まれています。せっかく根管内をきれいに掃除しても、患部に唾液が入ってしまうと、根管が再び虫歯菌に汚染されてしまいます。
当院では、「ラバーダム」というゴム製のシートで患部以外の口腔を覆い、唾液の浸入をシャットアウトした状態で治療を行います。
ラバーダムを利用することで、根管治療の成功率は飛躍的に高まります。しかし、日本国内ではラバーダムを導入している歯科は数パーセントに過ぎません。
当院では、保険診療も含めて、すべての根管治療でラバーダムを使用しています。

「ファイル」というヤスリのような器具で、根管内の神経組織を除去していきます。多くの歯科医院ではステンレス製のファイルが利用されていますが、当院ではニッケルチタン製のファイルを使用します。ニッケルチタンファイルは柔軟性に優れ、複雑な形状の根管を処置するのに有効です。

根管治療の最後の仕上げとして「根管充填」という工程があります。歯の神経を取ったことにより空洞になった根管内を充填剤で埋め、すき間がないように緊密にふさぎます。
この空洞をしっかりふさぐことができなければ、再び細菌が侵入して再発してしまう危険性があります。一般的には「ガッタパーチャ」と呼ばれる、ゴムのような充填剤で空洞をふさぐのですが、ガッタパーチャではすき間ができることがあり、再感染〜再発を起こしやすいのです。
そこで、当院では「MTAセメント」と呼ばれる充填剤を積極的に利用しています。MTAセメントはすき間を緊密にふさぐことができる上、殺菌作用や歯の組織を再生させる効果があるため、治療後の経過が非常に良好になります。
| 治療の説明 | 強い殺菌作用をもち、口腔内のように水分の多い状態でも硬化する性質がある、歯科用の水硬性セメントを用いた治療。ケイ酸三カルシウム、ケイ酸二カルシウム、酸化ビスマス、石膏などが主成分とされる。 |
|---|---|
| 費用 | 1.1万円/1箇所(税込) |
| リスク/副作用 | 経年に伴い、変色する場合がある。根管内に入れた場合、固いので除去が困難になる。 |
根管治療を行っても症状が改善せず、再発を繰り返す場合は「抜歯」の選択が一般的です。しかし当院では「歯根端切除術」や「再植術」を実施することで、可能な限り歯を残す治療が可能となっています。
神経を取った後の治療(根管治療)がうまくいかなかった場合、根の先端に「膿の袋」ができることがあります。膿の袋が大きい場合には抜歯になりますが、そうでない場合は、根尖(根の先端)を外科的に切断し、膿の袋を摘出する処置を行います。これを歯根端切除術と言います。



| 治療の説明 | 患部の歯の歯肉を剥離して、直接歯根の先の病巣を除去する治療。 |
|---|---|
| 費用 | 5.5~11万円(税込) |
| リスク/副作用 | 歯肉を触るので、歯肉退縮が起こる可能性がある。 外科処置を伴うので、術後に腫れや違和感が生じる場合もある。 |
神経を取り除いた歯は、徐々にもろくなってしまいます。歯には、普段の食事以外にも食いしばりや歯ぎしりなどさまざまな負荷がかかるのですが、もろくなった歯は、負荷に耐えられずに割れてしまうことがあります。こうなると一般的には抜歯となりますが、場合によっては「破折歯牙再植術」という方法で、歯を残すことができます。
破折歯牙再植術とは、問題のある歯をいったん抜歯して、接着や殺菌などの処置をした上で、再び元の場所に戻す術式です。対応可能なケースは限られますが、歯を残せる可能性がある場合は検討したい治療法です。


日本で根管治療を受けた半数近くの患者様が、症状の再発に悩んでいます。
当院では、セカンドオピニオンも受け付けています。
治療したはずの歯の痛みや腫れに悩んでいる方、治療を繰り返しているのに抜歯を宣告されてしまった方は、ぜひ当院にご相談ください。
根管の内部をマイクロスコープで撮影し、患者様にもご覧いただきます。どうして腫れるのか、どうして痛むのか、どのような治療法があるのか、しっかり納得していただけるように、丁寧に説明いたします。
当院では、患者様が抱えていらっしゃるお口のお悩みや疑問・不安などにお応えする機会を設けております。どんなことでも構いませんので、私たちにお話ししていただけたらと思います。
ご興味がある方は下記からお問い合わせください。

多摩モノレール「砂川七番駅」降りてすぐ
〒190-0004東京都立川市柏町3丁目1-1
042-536-4605
※このLINEは、医院からの送信専用です。
メッセージの返信はできませんので、ご了承ください。
| 診療時間 | 月 | 火 | 水 | 木 | 金 | 土 | 日 | 祝 |
|---|---|---|---|---|---|---|---|---|
| 09:00 ~ 17:30 | ● | ● | ● | ● | ● | ● | ▲ | / |
▲ 日曜日は、小児・矯正など特別な診療のみ対応
※ 休診日:祝日
※ 受付時間は診療終了時間の30分前
