日本補綴歯科学会専門医
が在籍

当院が行う
「短期集中治療」3つの特徴
- 何日もかかる治療を「1日」で済ます
- 「歯科技工士」が常駐
- 「即日ジルコニア修復システム」完備
多摩モノレール「砂川七番駅」降りてすぐ
〒190-0004 東京都立川市柏町3丁目1-1
042-536-4605
診療時間 9:00 ~ 17:30
※受付は17:00まで ※休診日:祝日


患者様が審美治療に求めるものは当たり前ですが「美しさ」です。しかし、美しさと一言で言っても、患者様ひとり一人に合う美しさは異なります。例えばですが、下の画像をご覧ください。あなたならどちらの歯で治療したいですか?


「左」の画像を選択された場合、実際に選んだ歯を入れてみると次のような口元になります。

「右」の画像を選択した場合はどうでしょうか。実際に入れてみると次のような口元になります。

「歯」だけを見た場合と、実際にお口に入れた場合とでは印象が異なると思います。
なぜ、こうしたことが起こるのでしょうか?
それは「口元全体のバランス」が関係してくるから。
口元の美しさを構成するのは歯だけではありません。唇や顔貌、歯肉の色に加えて性別や年齢などが合わさることで歯の色や形が決まってきます。ですから、全体を考えずに歯の色や形を決定してしまうと、不自然な印象を与えてしまうのです。
当院では患者様の希望を伺いながら、あなたらしい自然な美しさ、「自然美」を追求した治療を行っています。



「補綴(ほてつ)」とは、なかなか聞き慣れない言葉だと思いますが、詰め物・被せ物や入れ歯など人工物で歯を補う治療の総称です。つまり、「補綴専門医」とは、詰め物・被せ物等で高度な専門知識を持つ者に付与される資格となります。
この資格を取得するためには、学会発表、論文の投稿、症例の蓄積さらには試験などの高いハードルを越える必要があります。日本全国の歯科医師8万人の内、補綴専門医の資格を持つ者はわずか1%です。
当院には日本補綴歯科学会専門医・指導医の院長をはじめ日本補綴歯科学会修練医が4名在籍しています。

| 2005年 | 日本大学歯学部 卒業 |
|---|---|
| 2009年 | 東京医科歯科大学大学院 修了 |
| 2009-2010年 | TCBC University of Turku 留学 |
| 2012年 | 日本補綴歯科学会専門医 取得 |
| 2012-2013年 | TCBC University of Turku 留学 |
| 2013-2014年 | ITI ScholarshipイギリスUCL ロンドン大学インプラント歯周病科留学 |
| 2015年 | 永田歯科医院 勤務 |
| 2015年 | 東京医科歯科大学 部分床義歯補綴学 非常勤講師 ※詳細はこちら |
| 2017年 | 文部科学省 科学研究費 若手B 取得 |
| 2020年 | ヨーロッパインプラント学会(EAO) 認定医 |
| 2021年 | ITIフェロー就任 |
| 2023年 | カンボジアPuthisastra大学 臨床教授就任 |











補綴治療において大切なのは歯科医師だけではありません。実際に詰め物や被せ物を作製する「歯科技工士」の技術も治療精度に大きく関わってきます。歯科医師と歯科技工士それぞれの知識・経験・技術に加えて綿密な連携があって初めて患者様に満足いただける被せ物・詰め物が出来上がるのです。
当院では院内技工室を完備し、8名の歯科技工士が常駐しております。こうすることで下記のメリットが得られます。
それぞれ表にまとめたのでご覧ください。
| 常駐(当院) | 非常駐 | |
|---|---|---|
| 治療期間 | ◎ | △ |
| 当院専属で被せ物等を作るので作製時間が短縮される。 | 複数の歯科医院の仕事を請け負うため一定の時間がかかる。 | |
| クオリティ | ◎ | 〇 |
| 歯科医師と細かくやり取りができるため高クオリティなものが作れる。 | 歯科医師との連携が難しくクオリティにムラができる場合がある。 | |
| 満足度 | ◎ | △ |
| 歯科技工士に直接自分の希望を伝えられるため、理想に近い物を作製できる。 | 自分の要望が反映されずに仕上がってくる場合がある。 |
従来ですと、美しい口元を創るためには一定の治療時間が必要でした。また、治療期間が長引くこともあり患者様の負担も決して少なくありませんでした。当院では下記の取り組みを行うことで、これらの問題を解決させています。

美しい口元を創るためには、精密な治療が必要になります。そのために大きな役割を果たしてくれるのが「マイクロスコープ」や「高倍率ルーペ」です。これらを活用することで、肉眼では見えないレベルの部位まで見えるようになり、治療の精度向上につながります。

当院では、ジルコニアの被せ物や詰め物を即日作製できるシステムを導入しています。
3Dカメラでお口の中をスキャンし、「CAD/CAM」技術を利用して被せ物・詰め物を作る機器なのですが、最短1日で「あなたの歯に最適な大きさや形状」の歯を作製できます。一度データを取ってしまえば、万が一壊れてしまったとしてもすぐに同じものを作製できるというメリットもあります。また、お口の型取りが不要なため嘔吐反射の強い方にもおすすめです。

短期間で治療を終えられるよう一回の診療時間を長く確保しています。こうすることで、1回の通院で複数の治療を進めることができ、治療回数そのものを少なくできます。治療期間が少なくなると、1回の治療精度が劣るのではと不安を感じられるかもしれません。たとえば、1回の治療の時間を90分確保することで、通常は1日30分行う治療を3日分受けていただけます。治療の精度は変わりませんので、ご安心ください。
審美治療において、見た目の美しさを追求するのはもちろんですが、同時に「お口の健康」も考慮しなくてはなりません。
当院に来られる患者様の中には、他院で審美治療を受けたところ「歯が痛くなった」「歯茎が腫れてきた」という方が少なくありません。これは、審美性だけを追求し、お口全体の健康を考えていない治療が行われたからです。
当院の審美治療は、美しさだけを追求する治療ではありません。
虫歯などのお口のトラブルをしっかり改善した上で、なおかつ美しさも提供する。それが当院の審美治療です。
以下、詳しくお話しさせていただきます。

歯の神経には歯に栄養を与える役割があります。
そのため歯の神経を抜いてしまうと歯に栄養がいかなくなり、歯がもろく欠けやすくなってしまいます。加えて細菌への抵抗力も下がり虫歯が進行しやすくなるため、将来的に「抜歯」になってしまう可能性が高まります。
つまり歯の神経を抜くことで、歯自体の寿命が縮まってしまうのです。
しかし、残念なことに審美性だけを追求する医院では、簡単に神経を抜いてしまいます。
当院では極力神経を抜かない治療(ケースによっては抜くこともあります)を心掛けています。
審美歯科治療を行う際、「歯周病」が発見されればまずそちらの治療を行います。
これは歯科業界では基礎の基礎なのですが、治療期間の短縮と審美性だけを追いかける歯科医院ですと、歯周病治療を行わずに審美歯科治療を行うことがあるのです。
通常、被せ物等を作製する際にはお口の「型取り」をし、それに基づいてお口の「模型」を作ったうえで被せ物等を作製していきます。



仮に歯周病を改善せずにこの工程を進めてしまう、正確な型取りができず、「不正確」な模型になってしまいます。なぜなら、歯周病になると炎症により歯肉がブヨブヨに腫れてしまうためからです。
つまり、せっかく作った被せ物もお口に合わない仕上がりになってしまいます。
お口に合わないということは、歯と被せ物の間に「隙間」ができてしまっている状態です。この隙間からやがて虫歯菌が侵入し、被せ物の中が虫歯でボロボロになり、結果的に治療した歯を抜歯しなければならないというケースも起こり得るのです。
さらに、歯周病が進行することで、その隙間が広がり、審美的にも美しくありません。
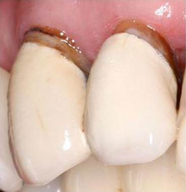
下の左側の写は、歯周病の治療を行わずに他院で治療されてしまった症例です。
一目で分かるほど歯と被せ物の間に隙間が生じ、見た目も美しくありません。
当院でリカバリーした症例が右側の写真になります。



審美治療を行ったことで、稀にですが「物がしっかり噛めなくなる」「顎関節症になってしまった」ということがあります。その他、不定愁訴と呼ばれる
「頭痛」「眩暈」「肩こり」が起こってしまう事もあります。これらは
治療によって「噛み合わせ」がおかしくなってしまったことに原因が
あります。治療によって「口の健康」だけではなく「体の健康」が侵されてしまうといったことがあってはなりません。
当院では「自然美」と「健口美」の2つを追求した治療を行っています。
ご興味がある方は、一度お話をお聞かせください。
審美歯科治療は、歯の「色」だけでなく、「形」「歯並び」の改善も可能です。
以下、当院で治療した症例をご紹介いたしますので、治療後のイメージの参考にしていただけたらと思います。
このようなご要望にはセラミック素材の「詰め物(インレー)」「かぶせ物(クラウン)」をお勧めします。下記の画像は銀歯の詰め物(インレー)をセラミック素材の詰め物(インレー)に差し替えた症例です。


下記の画像は銀歯のかぶせ物(クラウン)をセラミック素材のかぶせ物(クラウン)に差し替えた症例です。


一口にセラミックと言いましても複数の種類があります。
詳しくは料金表に記載していますのでそちらをご参照ください。
歯の隙間を改善する方法として「矯正歯科治療」をイメージされる方も多いかと思いますが、審美歯科治療でも対応が可能です。オールセラミック法(セラミックのかぶせ物)を利用します。下記の画像はセラミッククラウン法(セラミックのかぶせ物)で「歯の白さ」と「歯の隙間」を改善した症例です。


審美歯科治療では「歯の形」も変化させることができます。
オールセラミッククラウン法(セラミックのかぶせ物)を利用します。
下記の画像はオールセラミッククラウン法(セラミックのかぶせ物)で「歯の白さ」と「歯の形」を改善させた症例です。


歯の形・歯の大きさは、あなたが思っているよりもその人の個性を際立たせます。

日本人に多いタイプで、前歯の先端が直線上にある歯と、ない歯とが混在しています。最も無難で自然な歯並びです。口を小さく見せる効果もあり、若々しい印象を与えます。

白人に多いタイプの歯並びで、前歯の先端がすべて直線上にあるので、口元をくっきりと強調することができます。

日本人の女優さんに多いタイプの歯並びです。前歯の先端はすべて直線上にありますが歯と歯に多少の重なりがあることが特徴です。出っ歯を治したい人、女性的な印象をもっと強調したいという人に向いていると言われます。

下唇のラインと前歯のラインが平行になっているのが特徴です。 世界的に好まれる並びで、ハリウッドスマイルとも呼ばれています。
このように「歯の形」「歯の大きさ」の微妙な違いによって、その人の印象を変えてしまう事があります。当院では、このようなことも考慮した上でのご提案・治療を行っております。
タバコ、コーヒー、お茶、ワイン、カレーなど飲食物には着色しやすいものがあります。審美歯科治療でも対応可能ですが、より手軽により安くできるものに「ホワイトニング(薬剤を使った治療)」がありますのでそちらをご紹介します。




ホワイトニングに関しての詳細はホワイトニングをご参照ください。
当院では、患者様が抱えていらっしゃるお口のお悩みや疑問・不安などにお応えする機会を設けております。どんなことでも構いませんので、私たちにお話ししていただけたらと思います。
ご興味がある方は下記からお問い合わせください。

多摩モノレール「砂川七番駅」降りてすぐ
〒190-0004東京都立川市柏町3丁目1-1
042-536-4605
※このLINEは、医院からの送信専用です。
メッセージの返信はできませんので、ご了承ください。
| 診療時間 | 月 | 火 | 水 | 木 | 金 | 土 | 日 | 祝 |
|---|---|---|---|---|---|---|---|---|
| 09:00 ~ 17:30 | ● | ● | ● | ● | ● | ● | ▲ | / |
▲ 日曜日は、小児・矯正など特別な診療のみ対応
※ 休診日:祝日
※ 受付時間は診療終了時間の30分前
