高性能CT 立川 永田歯科医院 インプラント
2020年03月14日
こんにちは、歯科医師の塩谷です。
もうすぐ春がやってきますね、皆様いかがお過ごしでしょうか
今回はCTの素晴らしさをあらためて体感したのでお伝えしたいと思います
そもそもCTとは「Computed Tomography」の略です。レントゲンに高度なコンピューター
を組み合わせることで人体は輪切りにしたような画像や立体的な情報を得ることができます
歯科医院で一般的に用いられるパノラマ写真では判断しずらい場面で大活躍してくれます

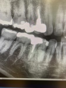
上の写真は一般的なパノラマで撮影してものですが、いまいち右下の状況が判断しずらくなっています。
一方、下の三枚はCT画像なのですが、右下の小臼歯が破折しているのがわかります。



CTを撮影しないとわからないことがたくさんあるので我々はCTは愛用しています。
永田歯科医院ではすべての治療で必要だと思われるときにはCTや顕微鏡を駆使して全力で日々治療に奮闘しております。なにかお問い合わせがあればいつでもお待ちしております
永田歯科医院 塩谷哲郎




